Behandlung
Zahnfüllungstechniken: unüberschaubare Vielfalt?

Ein Loch im Zahn. Was nun?
Amalgam, Kunststoff, Gold, Keramik, konventionelle Technik, Adhäsivtechnik, Glasionomer, Komposite etc... Kann man denn da noch als Laie durchblicken? In diesem Artikel werden wir die Angelegenheit etwas ordnen.
Über Amalgam möchten wir gleich zu Beginn aufklären. Quecksilber hat als Nervengift in der modernen Medizin nichts zu suchen. Ansonsten können wir das Kapitel Füllungstechnik in direkt im Mund plastisch zu verarbeitende Materialien und in laborgefertigte Einlagefüllungen aufteilen.

Welche Materialien bzw. Techniken kommen für die komplette Füllungsherstellung im Mund in Frage? Zum einen haben wir für die konventionelle Technik Materialien zur Verfügung, deren Basis ein Kunststoff mit der Bezeichnung Glasionomer ist. Die Haftung dieser Materialien ist primär mechanisch. Sie sind im Vergleich zu den anderen Stoffen relativ weich. Vorteil ist die einfache Verarbeitung und leichte Bearbeitbarkeit. Als endgültiger Füllstoff sind sie eher nicht geeignet. Sehr bewährt haben sie sich als provisorische Füllungen und Unterfüllungen unter Kronen, da sie sehr gut zu beschleifen sind.
Die moderne, hochwertigere Version der Kunststofffüllung ist adhäsiv verarbeitetes Komposit
Adhäsiv“ heißt, dass über spezielle Flüssigkeitssysteme eine Schmelz- und Dentinhaftung erzielt wird, so dass zusätzlich zur mechanischen eine durchgehende chemische Bindung zwischen Zahnsubstanz und Füllungsmaterial vorhanden ist. Dies erhöht die Lebensdauer der Füllungen erheblich, da die Bildung von Spalten zwischen Füllung und Zahn verhindert wird. Außerdem sind Komposite härter. Der Begriff Komposit kommt nämlich von der englischen Bezeichnung „composite materials“, was so viel heißt wie zusammengesetztes Material. In der Kunststoffmatrix sind nämlich Keramikpartikel, um mehr Härte und Stabilität zu bekommen. In Frage kommen Kompositfüllungen bei Frontzahn- und kleinen Seitenzahndefekten.
Bei ausgedehnteren Defekten im kaubelasteten Seitenzahnbereich empfehlen sich laborgefertigte Einlagefüllungen, sogenannte Inlays. Sie können aus Gold oder Keramik gefertigt werden. Beide Varianten zeichnen sich gleichermaßen durch eine sehr lange Lebensdauer aus. Aus ästhetischen Gründen entscheiden sich die meisten unserer Patienten für Keramik. Zur Versorgung mit Inlays sind zwei Termine notwendig. Im ersten Termin werden die Zähne vorbereitet, indem die entsprechende Form in den Zahn gebracht
wird. Anschließend werden die Zähne abgeformt und provisorisch gefüllt. In der zweiten Sitzung nach ungefähr zwei Wochen werden die fertigen Inlays mit speziellen Zementen eingesetzt. Die laborgefertigten Einlagefüllungen sind sehr hart und dadurch dimensionsstabil und abriebfest. Zudem weisen sie eine Passgenauigkeit auf, die einer Kontrolle unter dem Mikroskop standhält.
Welche Technik in welchem Fall die sinnvollste ist, muss schlussendlich im Einzelfall entschieden werden. Grundsätzlich kann man sagen, dass oftmals ein zunächst höherer Aufwand besser ist, um langfristigem Zahnsubstanzverlust vorzubeugen. Bei jedem Austausch von Füllungen geht nämlich Zahnsubstanz verloren, so dass oft eine Überkronung nicht mehr zu vermeiden ist.
Fachkreise sind sich darüber einig, dass das außerhalb des Mundes gefertigte Inlay (Einlagefüllung) heute die besten Chancen bietet, einen kariösen Zahn dauerhaft zahnsubstanzerhaltend zu versorgen.
Alles kostet Geld - das heute Teuerste erweist sich nach Jahren als das Billigste!
Je haltbarer ein Inlay, je länger also seine Lebensdauer, desto günstiger verteilen sich für Sie die Kosten über die Jahre, bei Gold zum Beispiel über ca. 15 Jahre.
Und noch ein Tipp: Pflegen sie Ihre gut versorgten Zähne! Die Mundhygiene spielt bei der Lebensdauer der Füllungen ebenfalls eine wesentliche Rolle. Unsere Prophylaxespezialistinnen unterstützen Sie gerne dabei.
Unsere Praxisempfehlung:
Gerade weil es in diesem Bereich viele offene Fragen gibt, haben wir grundsätzlich nach Ihrer Erstuntersuchung ein persönliches Beratungsgespräch vorgesehen. Es sind statt Amalgam im Einzelfall Zwischenfüllungen mit Biozementen möglich, die es Ihnen gestatten, Zeiträume von bis zu zwei Jahren und mehr zu überbrücken.
Auf diese Weise können Sie, solange Ihr Geld anderweitig gebunden sein sollte, beispielsweise durch Hausbau, Ausbildung der Kinder, Autokauf etc. dennoch eine langfristige Versorgung für sich sicherstellen.
Wenn Sie sich bereits dafür entschieden haben, Ihrer Gesundheit zuliebe Inlays zu wählen, haben Sie den größten Schritt schon getan. Sie wollen ernsthaft etwas für Ihre Gesundheit tun. Unsere Beratung nach der Erstuntersuchung dient dazu, mit Ihnen ausführlich alle Fragen zu besprechen, damit Sie sich anschließend in Ruhe und nach Rücksprache mit Ihrer Krankenkasse für Ihre persönlich beste Lösung entscheiden können.
ENDODONTIE (WURZELKANALBEHANDLUNG)
Zähne besitzen in İnneren einen Hohlraum mit lebenden Gewebe, die so genannte Pulpa (Zahnnerv). Sie ist sehr komplex und vergleichbar mit einer Baumwurzel mit vielen feinen Zweigen.
Die Pulpa ist durch Dentin und Schmelz vor Bakterien geschützt. Wird sie durch Karies oder einen Unfall verletzt, können Bakterien eindringen und eine Entzündung verursachen. Die Folgen dieser Entzündung sind anfangs Beschwerden bei Kälte- und Wärmereizen, später plötzliche, auch länger anhaltende, heftige, oft ausstrahlende Schmerzen. Oft verläuft die Entzündung und das Absterben des Nerven jedoch völlig beschwerdefrei.
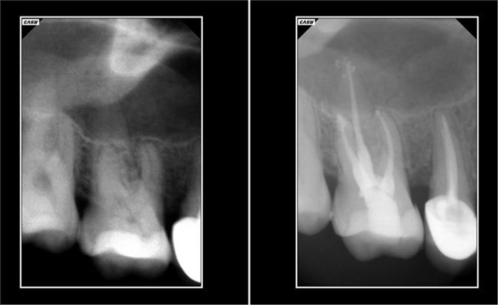
Ohne Behandlung des erkrankten Zahnes können die Bakterien nach Zerstörung der gesamten Zahnpulpa ungehindert in den Kieferknochen eindringen und dort eine Entzündung auslösen, die sich in Form von Aufbißschmerzen bemerkbar machen. Man kann heutzutage die Erkrankung im Röntgenbild als eine dunkle Stelle an der Wurzelspitze erkennen. Durchbricht diese Entzündung den Kieferknochen, kann eine eitrige Schwellung auftreten. Ziel der Wurzelkanalbehandlung ist es, die entzündete oder abgestorbene Pulpa sowie die Bakterien aus der Pulpahöhle zu entfernen und die Wurzelkanäle mit einem gewebefreundlichen Material bakteriendicht abzufüllen. Hierzu verschafft sich der Zahnarzt durch die Zahnkrone einen direkten Zugang zur Pulpa und entfernt den entzündeten oder abgestorbenen Nerv aus dem Zahninneren, falls notwendig mit Betäubung.
Eine Wurzelkanalbehandlung ist in der Regel nicht schmerzhaft.

Danach wird anhand von Röntgenaufnahmen oder durch ein elektrometrisches Messverfahren die Länge der einzelnen Wurzelkanäle bestimmt.
Die Kanäle werden nun bis zur Wurzelspitze mit zierlichen, biegsamen Instrumenten (kleinen Feilen) gesäubert und erweitert. Dies kann ein sehr zeitaufwendiger Arbeitsgang sein, besonders dann, wenn es sich um stark gebogene, enge oder schwer zugängliche Wurzelkanäle handelt.
Je nach Entzündungsgrad können dafür mehrere Sitzungen notwendig sein. Zwischenzeitlich wird der Zahn provisorisch versorgt.
Abschließend werden die aufbereiteten Wurzelkanäle mit Guttaperchaspitzen (Natur- gummi) gefüllt und durch eine Röntgenaufnahme kontrolliert. Gelegentlich können nach der Behandlung Beschwerden an dem betroffenen Zahn auftreten, meist in Form von Aufbiss- und Berührungsschmerzen, die meist nach einigen Tagen wieder abklingen.
In einigen Fällen kann es aber auch längere Zeit nach Abschluss der Behandlung zu Beschwerden kommen, weil weiterhin Bakterien in den Knochen vordringen und dort eine Entzündung verursachen bzw. unterhalten: Diese Bakterien stammen aus engen, verkalkten, stark gekrümmten Kanälen oder Seitenkanälchen, die bei der Behandlung nicht vollständig gereinigt und gefüllt werden können, oder es kommt zu einer erneuten Infektion des Wurzelkanalsystems durch eine undichte provisorische Versorgung, neue Karies, eine gebrochene Füllung oder eine gelockerte Krone. In diesen Fällen muss dann häufig eine Wurzelspitzenresektion durchgeführt werden (ein chirurgischer Eingriff, bei dem die erkrankten Wurzelspitzen abgetrennt werden).
Wundern Sie sich nicht, wenn bei einer Wurzelkanalbehandlung mehrere Röntgenaufnahmen angefertigt werden. Sie sind oft notwendig, um eine exakte Längenbestimmung und – Kontrolle zu erreichen. Durch den Einsatz moderner elektronischer Geräte ist es uns jedoch schon gelungen, die Anzahl notwendiger Aufnahmen zu veringern.
Ein wurzelkanalbehandelter Zahn ist extrem frakturgefährdet, da er nicht mehr mit Flüssigkeit vom Zahninneren her versorgt wird und dadurch spröde wird. Der Zahn frakturiert in der Regel unterhalb des Zahnfleisches und ist dann oftmals nicht mehr zu erhalten. Deshalb ist es unbedingt erforderlich, den Zahn nach einer erfolgreichen Wurzelkanalbehandlung mit einer Krone zu stabilisieren.
Internes Zahn Bleaching gegen dunkle Zähne
Internes Bleaching bedeutet, dass ein dunkel gewordener Zahn von innen her gebleicht wird.
Durch eine unsachgemäße Wurzelbehandlung kann ein Zahn stark verfärben. Bakterien, Blut und Speichelbestandteile können während der Wurzelbehandlung in den Zahnkanal eindringen.
Bakterienabbauprodukte führen dann zu einer dunklen Verfärbung des Zahnes. Ziel beim internen Bleaching ist es die Zahnverfärbungen ohne Opferung von Zahnhartsubstanz zu beseitigen. Dabei wird ein spezielles Gel in das Zahninnere eingebracht, welches die Verfärbungen neutralisiert.
Zahnfleisch Depigmentierung
Auch Gum Depigmentierung genannt ist ein Verfahren, welches in der kosmetischen Zahnheilkunde eingesetzt wird.
Die normale Farbe des Zahnfleisches ist rosa, aber überschüssige Ablagerungen von Melanin können, dunkle bis schwarze Punkte oder Flecken auf dem Zahnfleisch erzeugen, wodurch ästhetische oder kosmetische unschönheiten auftreten.
Verfärbungen können auch durch langfristige Einnahme bestimmter Medikamente verursacht werden.
Wir bieten dem Patienten mit einer Lazer-Behandlung die Depigmentierung des Zahnfleisches damit es wieder strahlend rosa erscheint.